PRACOWNIA RTG
Cyfrowe Zdjęcia Panoramiczne Zębów i Rentgen Zębów w Łodzi! Pantomograf najwyższej klasy.
Kompleksowa pracownia radiologiczna dla wszystkich...
Dlaczego Pantomograf Kodak w Klinice ATJ?
- Gwarancja Jakości
- Gwarancja Najwyższej Wartości Diagnostycznej
- Gwarancja Bezpieczeństwa
- Gwarancja Najniższej Dawki Promieniowania
- Gwarancja Wygody Pacjenta
- Gwarancja Niskiej Ceny
Zdjęcie zębowe (rentgen zębów) 40 zł, zdjęcie panoramiczne zębów 90 zł! Bez umawiania terminu - zawsze w godzinach pracy ATJ!
Zobacz też tomografia komputerowa
Wykonujemy najwyższej rozdzielczości obrazowanie RTG:
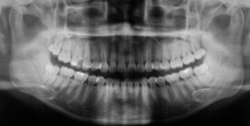
- zdjęcia panoramiczne zębów (całkowite)
- zdjęcia panoramiczne częściowe (wycinkowe)
- zdjęcia panoramiczne wycinkowe stawów skroniowo_żuchwowych
- zdjęcia panoramiczne 2D+
- rentgen pojedynczych zębów
Zapewniamy możliwość wykonania zdjęcia panoramicznego zębów (panoramiczne RTG zębów) oraz radiologicznego punktowego (rentgen zębów) wszystkim pacjentom, również nie korzystającym z leczenia w naszej klinice stomatologicznej. W przypadku braku skierowania lekarskiego na badanie istnieje możliwość jego uzyskania po bezpłatnej konsultacji lekarskiej w naszej klinice.
Rentgen zębów to standard w nowoczesnej stomatologii
Dzięki zastosowaniu najnowocześniejszej aparatury radiologicznej firmy Kodak, lidera bezpieczeństwa, zapewniamy najwyższą jakość obrazowania przy najmniejszym z możliwych narażeniu na promieniowanie radiologiczne. Wykwalifikowany i doświadczony personel zadba o państwa bezpieczeństwo i maksymalną korzyść z przeprowadzonego badania radiologicznego.
Zdjęcie panoramiczne zębów 2D+. Alternatywa dla tomografii. Nowe możliwości w RTG zębów!
W niektórych przypadkach istnieje możliwość lokalizacji zmiany bez konieczności wykonywania tomografii co znacząco obniża koszty leczenia.
Technologia 2D+
Ekskluzywny program tomosyntezy 2D+ kreuje cienkie slajdy, dzięki którym można pozyskać więcej diagnostycznych informacji na temat lokalizacji struktur niż daje standardowe zdjęcie panoramiczne zębów.
- kilka sekwencji jednej lokalizacji i stworzenie serii cienkich slajdów w regularnych odstępach szczęki różniących się ostrością uwidocznionych struktur umożliwia ocenę położenia względem siebie struktur anatomicznych
- pantomograf wykonuje slajdy od strony policzkowej w kierunku języka
- pantomografia 2D+ pozwala określić zęby zatrzymane, korzenie podniebienne lub identyfikować kanał nerwu zębodołowego
W efekcie rentgen zębów nie zostaje przedstawiony w postaci klasycznego zdjęcia panoramicznego zębów, a w postaci kolejnych sekwencji RTG zębów.
Zdjęcia pantomograficzne wykonane nowoczesnym aparatem RTG umożliwiają ocenę stawów skroniowo-żuchwowych oraz RTG zatok szczękowych.
RTG pantomograficzne wykonane w klinice stomatologicznej ATJ można poszerzyć RTG stawów skroniowo-żuchwowych, RTG zatok szczękowych czy dokładny rentgen zęba.











