Tomografia szczęki, tomografia żuchwy czy tomografia zęba dla każdego!
Tomografia szczęki, Tomografia Zębów, Tomografia Zęba to nie wszystko co oferuje Tomografia Stomatologiczna!
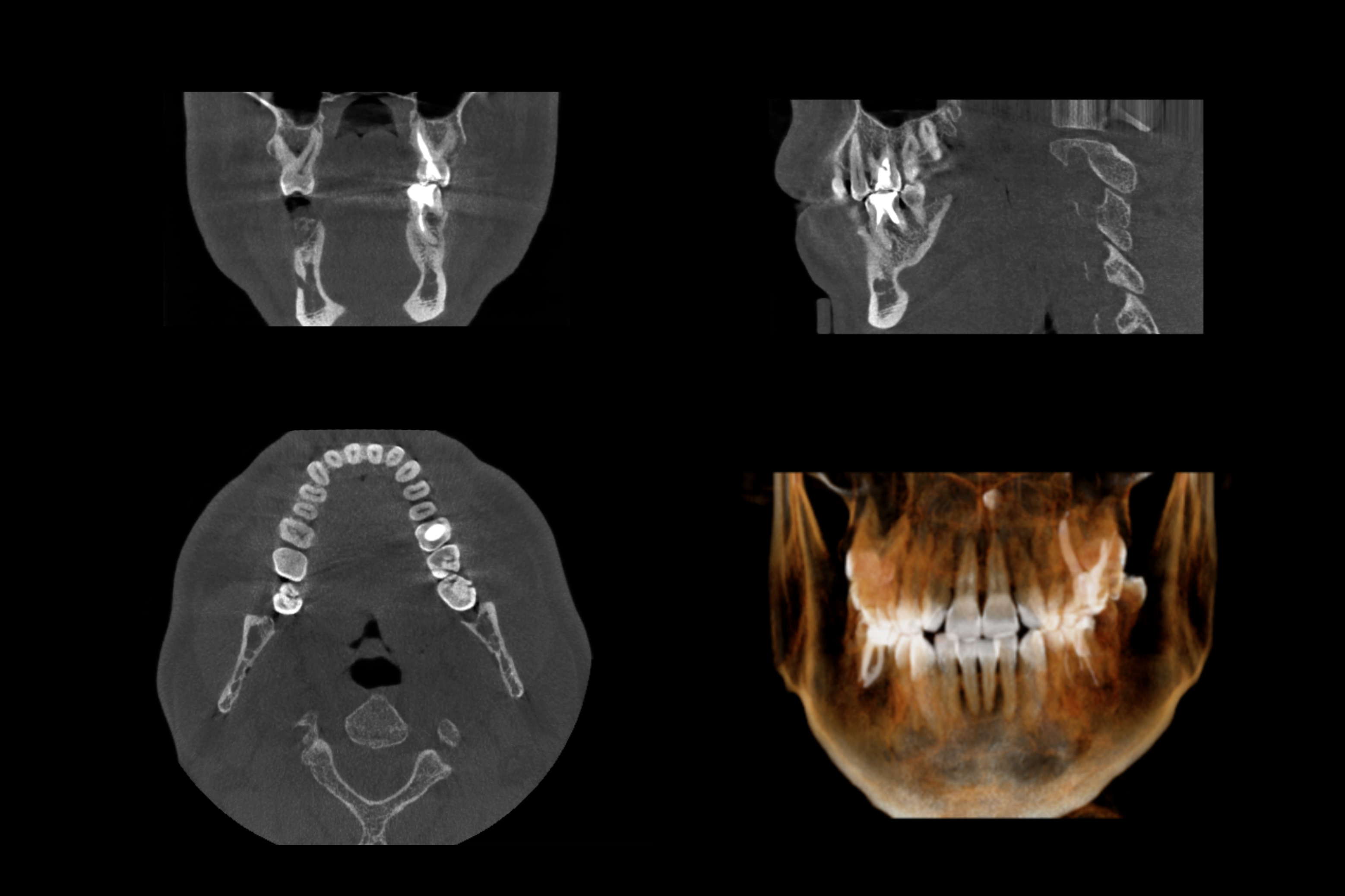
Tomografia komputerowa w stomatologii to najwyższy standard diagnostyczny. Każda dobra klinika stomatologiczna z czasem staje wobec potrzeby poszerzenia diagnostyki radiologicznej, a najlepszym rozwiązaniem jest właśnie tomografia szczęki, tomografia żuchwy lub tomografia zęba. Tylko szczególne przypadki pacjentów (podwyższonego ryzyka) wymagają wykonania tomografii komputerowej, a decyzja o jej wykonaniu jest podyktowana zasadą najwyższego bezpieczeństwa pacjenta! Sytuacje, w których badanie radiologiczne np. pantomograficzne RTG zębów ujawnia zmiany w żuchwie czy szczęce. Najszybsza weryfikacja takich zmian możliwa jest po wykonaniu tomografii komputerowej. Stomatologia już dawno przestała być niedocenianą dziedziną medycyny, a stomatolog tylko dentystą wypełniającym "dziury w zębach".
Dobry stomatolog w klinice stomatologicznej to specjalista, z którego konsultacji korzystają przed zabiegami kardiochirurg, kardiolog, ginekolog czy położnik. Od dobrego stomatologa oczekuje się pełnego profesjonalizmu, co obejmuje również pełną diagnostykę w zakresie jego dziedziny. Dlatego nie powinno dziwić, kiedy stomatolog kieruje na tomografię komputerową mając wątpliwości co do obrazu radiologicznego w RTG zębów.
Tomografia stomatologiczna i jej zastosowanie. Tomografia zębów, Tomografia szczęki i Tomografia zęba najnowszym aparatem!
Tomografia komputerowa zębów w stomatologii znajduje zastosowanie u każdego pacjenta, ale szczególnie często jest wykonywana w następujących przypadkach:
- implanty zębów
- leczenie kanałowe w tym leczenie kanałowe pod mikroskopem
- chirurgia szczękowa
- chirurgia stomatologiczna
- ortodoncja
- periodontologia
- protetyka specjalistyczna
Dobry stomatolog w klinice stomatologicznej wie jak ważne jest zachowanie bezpieczeństwa, bo nowoczesna stomatologia to nie jest proste leczenie zębów. Każdy pacjent oczekujący maksymalnej troski i bezpieczeństwa powinien być świadom możliwości wykonania tomografii komputerowej, bo zaniechania w zakresie diagnostyki mogą prowadzić do poważnych konsekwencji!
Klinika stomatologiczna ATJ udostępnia możliwość wykonania tomografii komputerowej szczęki, tomografii komputerowej żuchwy lub zęba. Ostateczną decyzję zawsze pozostawiamy pacjentowi z poszanowaniem jego prawa do wyboru.
Zobacz także Jak przebiega tomografia szczęki




