Jak często czyścić zęby?
Dobry stomatolog jest niezbędny dla zdrowych zębów!
Codzienne nawet bardzo dokładne szczotkowanie zębów, choć jest podstawą dbania o zdrowe zęby, nie zapewnia całkowitej skuteczności. American Dental Association zaleca, aby co najmniej raz w roku odbyć wizytę kontrolną u dentysty podczas i poddać się zabiegowi czyszczenia zębów.
Dlaczego szczotkowanie nie wystarcza?
Zaleca się szczotkowanie zębów po każdym posiłku, jednak w dzisiejszych realiach bywa to niemożliwe. Dlatego mycie trzy a nawet dwa razy dziennie, jeśli w międzyczasie nitkujemy zęby, płuczemy dedykowanymi do tego płynami musi być wystarczające wśród osób pracujących. Jest to akceptowalne, a raczej nie mamy innego wyjścia, natomiast w takich warunkach należy pamiętać o częstszych wizytach kontrolnych i zabiegach higienizacji jamy ustnej wykonywanych u stomatologa.
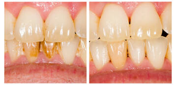
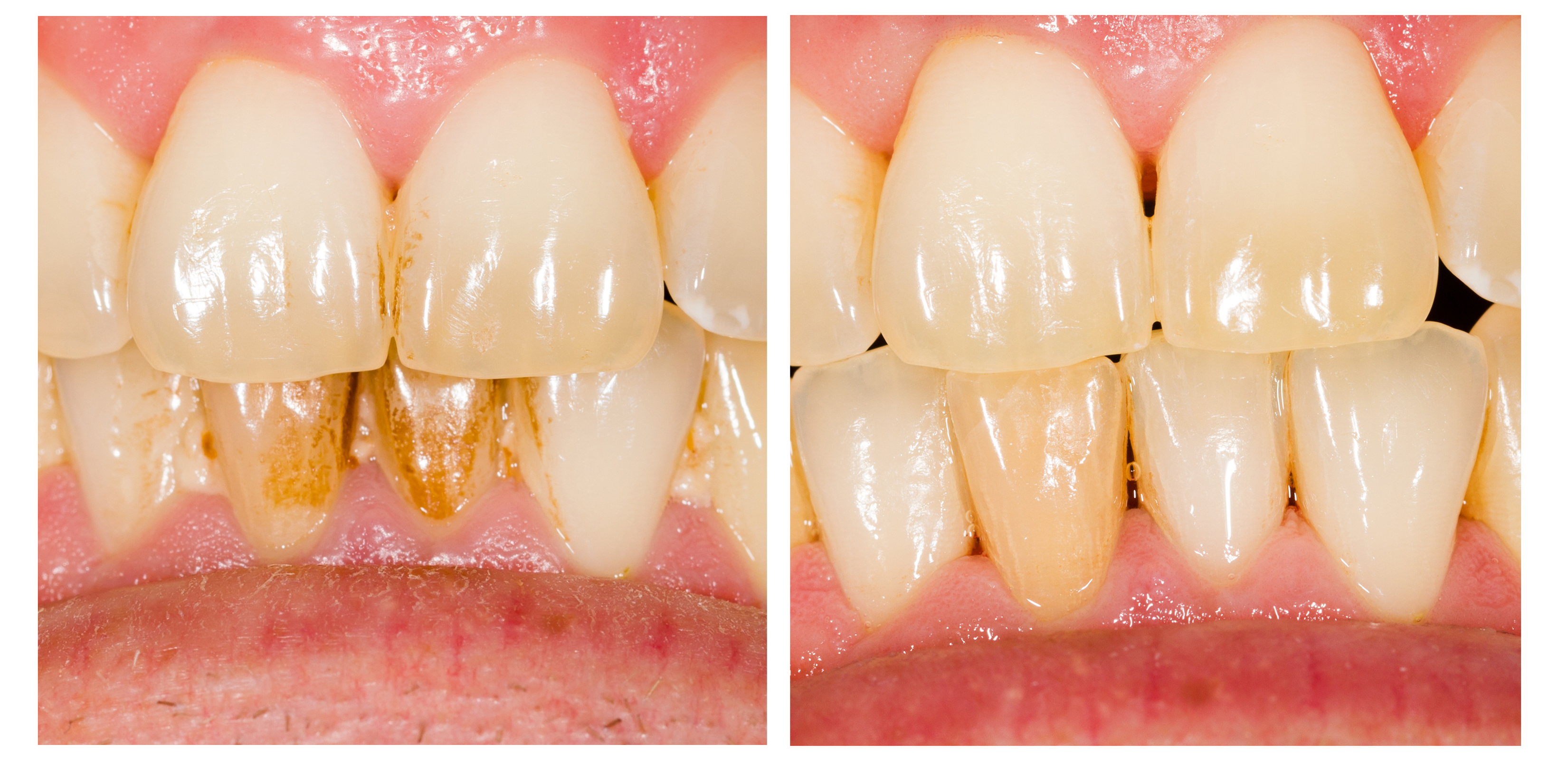
Specjalistyczne narzędzia jak skaler ultradźwiękowy, piaskarka i inne zapewniają największą skuteczność czyszczenia, w czasie którego usuwana jest płytka nazębna i kamień nazębny, które są miejscem gromadzenia się bakterii próchniczotwórczych i chorobotwórczych.
Co należy więc robić, aby lepiej dbać o zęby?
Regularnie szczotkuj zęby
Używaj nici dentystycznych
Stosuj profesjonalne płyny do płukania jamy ustnej
Stosuj (z umiarem) bezcukrowe gumy do żucia
Co najmniej raz w roku poddaj się zabiegom higienizacji w gabinecie stomatologicznym.
Tylko połączenie tych elementów zapewni Ci zdrowy uśmiech, ale również pomoże chronić przed próchnicą, utratą zębów i chorób przyzębia i dziąseł.
Jak często powinno się czyścić zęby w chorobach dziąseł i przyzębia?
W takich przypadkach częstość zabiegów zaleca stomatolog na podstawie indywidualnego planu leczenia. Warto, aby dobry periodontolog ocenił stopień zaawansowania problemu i jeśli to konieczne zlecił leczenie. Im wcześniej się to uda, tym będzie ono skuteczniejsze.
Dla kogo szczególnie zalecane są zabiegi czyszczenia zębów przez dentystę?
Pacjenci cierpiący na choroby takie jak cukrzyca czy choroby serca powinni szczególnie uważnie obserwować stan zdrowia jamy ustnej. Długotrwała cukrzyca może spowodować nawet zupełną utratę zębów w wyniku chorób periodontologicznych, a w przypadku schorzeń kardiologicznych należy szczególnie dbać o zęby, aby nie stały się ogniskiem rozsiewającym bakterie w organizmie. Może to prowadzić do trwałego uszkodzenia zastawek serca, zwłaszcza sztucznych.
Co należy jeszcze zrobić, aby mieć piękne, czyste zęby?
Jeśli palisz, rozważ rzucenie. Palenie może trwale przebarwić zęby i spowodować inne problemy zębów i dziąseł. W takich przypadkach, aby przywrócić biel zębów konieczny jest zabieg wybielania profesjonalnymi lampami. Kliniki stomatologiczne wykonują te zabieg na co dzień. Jeśli nie zamierzasz rzucić palenia, musisz częściej czyścić zęby. Porozmawiaj ze swoim dentystą, aby dowiedzieć się dokładnie, jak często powinieneś czyścić zęby. Dobra klinika stomatologiczna udzieli ci bezpłatnej konsultacji.
Jakie mogą być następstwa zaniedbań w czyszczeniu zębów?
Nadwrażliwość, przebarwienia, zażółcenie oraz szybko rozwijająca się próchnica, choroby dziąseł to najczęstsze powikłania. Przy dłuższych zaniedbaniach może dojść do utraty zęba lub wielu zębów. Czasem konieczne jest wtedy, aby zęby usunął chirurg szczękowy, a ze względu na zły stan dziąseł nawet dobry protetyk może mieć kłopot z wykonaniem korony, mostu, czy pracy na implantach. Choroba dziąseł może również uniemożliwić wszczepienie implantów, a pamiętajmy, że implanty, stanowią najlepsze rozwiązanie uzupełnienia trwałych ubytków w uzębieniu. Pokazuje to, że problemy wywołane nieskutecznym czyszczeniem zębów, unikaniem zabiegów czyszczenia u dentysty nie skończą się nawet w przypadku utraty wszystkich zębów. Następstwa utrudniają leczenie protetyczne i proces przywrócenia pełnego uśmiechu.
Dobra klinika stomatologiczna to bezpłatne konsultacje, endodoncja, chirurgia, implanty
Dlaczego moje dziąsła krwawią po szczotkowaniu zębów?
Może to być efektem stosowania zbyt twardych szczoteczek do zębów i zbyt mocnych past lub zbyt silnego dociskania szczoteczki, od tego należy zacząć. Powoduje to nie tylko krwawienie, ale także trwałe cofanie się dziąseł. Ponadto krwawienie może być efektem dużego nagromadzenia bakterii w ustach, co podrażnia dziąsła, które stają się bardziej wrażliwe i łatwiej krwawią. Dlatego warto, aby skonsultował nas dobry stomatolog i ocenił wskazania do czyszczenia zębów.
Po zabiegu czyszczenia w gabinecie stomatologicznym dziąsła mogą lekko krwawić przy szczotkowaniu przez 1-2 dni. Jest to zupełnie normalne i nie należy się tym martwić. Po ustąpieniu plamienia mamy już czyste zęby, którym nie zagrażają choroby wywoływane przez bakterie płytki nazębnej.
Ile kosztuje profesjonalne czyszczenie zębów czyli skaling z piaskowaniem?
Koszt zależnie od gabinetu i zastosowanych narzędzi może się różnić. Zabieg trwa od 30 minut do godziny, zależnie od nasilenia problemu. W naszej klinice skaling z piaskowaniem kosztuje 200 złotych. Nie jest to duży koszt biorąc pod uwagę częstotliwość zabiegów (jeden raz na dwanaście miesięcy), a daje nam pewność kompleksowej ochrony jamy ustnej i naszego zdrowia. Dodatkowo, ale bezpłatnie w ramach czyszczenia zębów wykonujemy polerowanie. Pacjenci są bardzo zadowoleni z efektu.
Ostatecznie pamiętajmy, że żadne zabiegi wykonywane samodzielnie w domu nie zastąpią profesjonalnego leczenia przez stomatologa, podobnie jak samodzielnie wykonywane ćwiczenia nie zastąpią rehabilitacji, a stosowanie preparatów bez recepty nie wyleczy trądziku. Są to jednak niezbędne elementy wspierające leczenie stomatologiczne, dlatego szczotkuj dokładnie zęby i umów się na wizytę kontrolną lub bezpłatną konsultację.
Skaling, piaskowanie, wybielanie zębów o najwyższej precyzji pod okiem doświadczonego stomatologa.





