Co powinna obejmować kompleksowa konsultacja stomatologiczna?
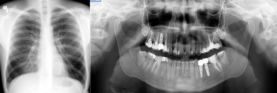
Dobry stomatolog często wykorzystuje RTG pantomograficzne lub tomografię zębów do pierwszej konsultacji.
Kompleksowa konsultacja stanu uzębienia obejmuje ocenę stanu koron zębów widocznych w badaniu bezpośrednim, ale równie ważne są szyjki i korzenie zębów, które są ukryte pod dziąsłami oraz błona śluzowa jamy ustnej.
Istnieje możliwość zwiadowczej trepanacji komory zęba celem oceny wskazań do leczenia kanałowego, jak ma to miejsce w niektórych przypadkach konsultacji endodontycznych lub nieinwazyjnej diagnostyki radiologicznej.
Co powinna obejmować kompleksowa konsultacja stomatologiczna?
badanie stomatologiczne
diagnostykę radiologiczną (rtg zębów, zdjęcia pantomograficzne, tomografia zębów - RTG 3D)
plan leczenia
zalecenia lekarskie
Jak uzyskać profesjonalną konsultację lekarską?
Nic prostszego! Udaj się do stomatologa i poproś o badanie! Dobre kliniki stomatologiczne oferują bezpłatne konsultacje. Profesjonalna usługa w tym zakresie powinna obejmować prześwietlenie zębów! Znajduje tu zastosowanie złota zasada w medycynie: "korzyści muszą przewyższać ryzyko". W przypadku nowoczesnej aparatury cyfrowej korzyści zawsze wygrywają. Dawka promieniowania jest najniższe z możliwych, a wczesne wykrycie toczącego się poddziąsłowo procesu chorobowego pozwoli uniknąć poważnych konsekwencji! W praktyce pozornie zdrowe uzębienie często ujawnia niebezpieczne zmiany w okolicy wierzchołka korzenia zębowego! Niestety alarmujące objawy najczęściej pojawiają się zbyt późno! Oprócz utraty zdrowia narażamy się na rosnące koszty leczenia. Najgorszym z możliwych scenariuszy jest sytuacja, kiedy proces chorobowy zniszczył kość w stopniu uniemożliwiającym podjęcie leczenia kanałowego, protetycznego, implantologicznego lub nawet zagrażającym pęknięciem kości żuchwy w wyniku osłabienia kości przez np. rosnącą torbiel.
Wybierz lekarza, który prowadzi proces diagnostyczno-terapeutyczny w oparciu najnowsze wytyczne i technologie! Innymi słowy wybierz nowe, precyzyjne i lepsze techniki zamiast "sprawdzonych"metod polegających jedynie na wizualnej ocenie koron zębów! Dopiero diagnostyka radiologiczna daje możliwość pełnej oceny stanu jamy ustnej. Medycyna nie stoi w miejscu... W innym wypadku nadal wypełnienia stomatologiczne/plomby opierały by się na amalgamatach. Pozostało po nich tylko wspomnienie!



